孩子马上要生了 可老公的工资才3000一个月 烦死了!
1个月前 收录
LG毫无上进心,他对自己现在这份工作很满意,扶都扶不起来[[2017-09-02-08-05]]推荐
查看详情>>
阅读:6185回复:3
一个月宝宝每个手指上有个红点点
1个月前 收录
阅读:5867回复:4
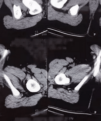
熊孩子竟把26颗这个塞进“小鸡鸡”,切开膀胱医生傻眼...
1个月前 收录
阅读:6131回复:1
老公出去一个礼拜 回来时太兴奋 结果就有了老二!
1个月前 收录
阅读:3.0万回复:34
明天我要生娃住院 大宝马上要开学 焦虑死了!
1个月前 收录
阅读:1.5万回复:11
我是单亲妈妈 孩子让妈妈帮忙着 越来越瘦 心疼死我了!
1个月前 收录
阅读:1.4万回复:19
36周早产男婴5.2斤 体温37.5度 医生说有败血症嫌疑?
1个月前 收录
出生13天体温37.5度,其他均正常,医生说要住院,就发热,也不算高烧,为啥这么严重的诊断?
查看详情>>
阅读:6159回复:4




