-
【十年磨一剑】我院品质管理项目再获省赛佳绩
5月22日至25日,在浙江省医疗服务管理评价中心、浙江省医疗质量控制与评价办公室举办的第十届“浙江省医院品管大赛”中,我院质管科选送的七个品管项目成功入围,在最终现场发表比赛中获得了三银三铜一佳作的好成绩。浙江省医院品管大赛十年来,我院一直认真组织、积极参与,此次还获评“医疗质量与安全改进先锋奖”和“优秀组织奖”。 银奖项目介绍“构建数智化医院质量安全管理平台”(进阶组银奖) 本项目通过数智化
嘉兴小穗 2024-06-07 15:4810876 0
-
【三分治七分养】关注哮喘,远离“会呼吸的痛”
春天来了,万物复苏,百花齐放,空气中处处飘溢着花香,但部分人却突然出现了咳嗽喘息胸闷的症状,原来是哮喘发作了。 01.什么是哮喘?支气管哮喘,简称哮喘,是全球范围内最常见的慢性呼吸道疾病。哮喘是因为慢性的炎症导致了气道高反应性,诱发患者反复出现喘息、气急等症状。部分儿童的哮喘可能会在青春期后逐渐消失。女性患者在月经期、妊娠期、绝经期症状会加重。 近年来,哮喘在全球有明显的增长趋势,已经成为危害人类
嘉兴小穗 2024-05-08 13:4310945 0
-
【热辣滚烫】减肥虐身又虐心?那是没有找到正确的打开方式
— 热辣滚烫科学减肥—减肥虐身又虐心? 那是没有找到正确的打开方式 三四月正是减肥的热门期手机前的你最近是不是也忙着减肥?有没有感觉减肥真的很虐心?费了老半天的劲一身脂肪对你仍是“难舍难离”?那是因为减肥是一项“系统”工程如果有了科学指导那减肥就没有那么复杂也不会虐身又虐心了 有同样困扰的小李(化名),前段时间找到了位于嘉兴市第二医院健康管理中心的体卫融合中心,通过体卫融合平台智能分析与个性化指导
嘉兴小穗 2024-05-08 13:3910989 0
-
【腰腿痛“哪哈办”】踏青烧烤之后脚痛,原来是这么一回事!
踏青野餐归来脚痛,怎么啦? 春意盎然、草长莺飞的季节,约上三五好友烧烤、小酌是何等惬意!然而,小李(化名)在享受如此美好的春日时光后却出现难以耐受的“脚痛”,他是咋啦?到了医院经过检查发现,原来他是痛风发了。 痛风?是怎么回事? 痛风是长期的尿酸盐沉积所致的晶体相关性关节病,其罪魁祸首是高尿酸血症,血尿酸值大于420umol/L即诊为高尿酸血症。 痛风的典型症状是急性发作性关节炎,尤其是下肢关节的
嘉兴小穗 2024-05-08 13:5011072 0
-
【嘉二健康汇】请大数据把这篇文章推给想打肉毒素的人!
Q肉毒素在我们脸上是怎么发挥作用的A肉毒素作用于胆碱能运动神经末梢,可以暂时阻断神经末梢释放乙酰胆碱,使神经支配的肌纤维不能收缩,从而使皮肤舒展,皱纹消失或肌肉萎缩达到瘦脸的作用。 Q哪些情况可以打肉毒素A比如有明显的鱼尾纹(眼周细纹)、额纹、眉间纹、鼻背部皱纹(鼻子山根处的横向皱纹)、咬肌肥大、小腿粗大及其他动力性皱纹都可以打肉毒素。 Q哪些人不能打肉毒素A严重心理障碍,严重心、肺、肾功能不全,
嘉兴小穗 2024-03-29 14:5011343 0
-
不是吧!空腹吃药还要讲究“空”多久
很多人都以为“空腹吃药”就是肚子饿的时候吃,或者只要不与食物一起吃就可以了。但是这种理解是不对的,空腹吃药也有时间规定,本篇科普就为大家讲一讲空腹吃药的注意事项。 01空腹吃药到底什么时候吃?空腹通常指的是胃肠道内没有食物,所以空腹吃药可以选择在晨起吃早饭前吃药,也可以在饭前1小时,饭后2小时(期间不能吃任何东西)吃药。 02空腹可以喝水吗?从吃药的角度来说,一般空腹喝水问题不大,个别药物服用后不
嘉兴小穗 2024-03-29 14:362213 0
-
减肥两天“瘫痪在床”了,怎么回事?
28岁的小张(化名)从微商处买了减肥药吃之后拉肚子2天,并且没有胃口进食,小张心中窃喜:“这下可以瘦成一道闪电啦!” 可是到了第三天早晨,小张醒来后感觉自己“瘫痪”了:下肢无力,双手也没有力气抬起来,还感到胸闷。她一个人躺在床上动弹不得,想拨打电话给父母求助却没有力气。幸好此时母亲过来看她,赶紧把小张送到了医院。 经过检查 , 小张当时 的血钾只 有 2.7mmol/L ,属重度低钾血 症。
嘉兴小穗 2024-03-29 14:5311306 0
-
【腰腿痛“哪哈办”?】哎呦喂,屁股痛,好像“筋板牢哩”
张师傅(化名)在一次卸货之后就感觉腰部用不上力了,不管是走还是站着屁股都疼得很,甚至向大腿后外侧延伸到膝盖后面,他怀疑自己是不是坐骨神经卡压了。但到医院一检查,医生告诉他:“你这确实是神经卡压了,但不是坐骨神经,是臀上皮神经卡压综合征。”“#?什么东西卡压了?听都没听过啊!” 1臀上皮神经卡压综合征 臀上皮神经卡压综合征顾名思义就是臀上皮神经受到了卡压,可能发生在该神经通过的出孔点、横突点、入臀点
嘉兴小穗 2024-03-29 14:2810784 0
-
内分泌科主任探底网红减肥药
相信只要是想减肥或者正在减肥的朋友,就算没吃过,也一定听说过减肥的“网红”药品——奥利司他以及司美格鲁肽,它们也是国家批准的减肥药。那这些药品是否如流传的那样神奇——只要用药就能大瘦特瘦呢? 余 琼嘉兴市第二医院内分泌科主任主任医师 学术任职:浙江省医师协会内分泌代谢科医师分会委员、嘉兴市甲状腺肿瘤专业委员会委员、浙江省营养学会肥胖防治专委会委员、 嘉兴市医学会内分泌学分会副主任委员、嘉兴市医学会
嘉兴小穗 2024-03-11 08:3210774 0
-
【义诊预告】14位全国专家齐聚嘉兴二院,为您口腔健康助力!
义诊公告世界口腔健康日 3月20日是世界口腔健康日,为此我院特于3月9日邀请了全国知名口腔正畸专家,现场为大家提供免费的口腔健康检查和专业咨询服务。 活动详情PART 01义诊时间3月9日(周六)11:00-12:00 PART 02义诊地点嘉兴市第二医院门诊二楼大厅 PART 03义诊内容免费口腔健康检查、专业咨询,如需进一步治疗,请与专家团队沟通并预约 预约方式1.现场预约:门诊二楼一站式服
嘉兴小穗 2024-03-05 08:419218 0
-
【腿肿了看什么科?】嘉兴二院下肢肿胀门诊开诊,一站式解决
大家有这样的困惑吗?生活中腿肿较为常见,很多人因下肢水肿、酸胀等症状来院就诊,但是他们不知道到底该挂哪个科,网上一搜索有说挂肾内科、心内科的,也有说挂血管外科、内分泌科的,还有说挂皮肤科、肿瘤科的,真是越看越困惑。 大家的困惑我们来解决!为了提升下肢肿胀患者就医体验,为大家提供一体化的综合治疗或进行精准分诊,嘉兴二院血管外科专门开设下肢肿胀门诊,如出现不明原因的下肢肿胀均可就诊于该门诊。 下肢肿胀
嘉兴小穗 2024-03-01 15:079001 0
-
【直播预告】牙齿矫正最全攻略来啦!
直播时间 2月29日(周四)18:30直播主题 牙齿矫正最全攻略邀请专家 嘉兴市第二医院口腔科副主任郑闱颖 ◆市民朋友们可扫码进群,提前了解直播情况并留言提问。 ◆届时可通过长按识别下图直播入口二维码关注视频号收看直播。 广告
嘉兴小穗 2024-03-01 15:027601 0
-
【嘉二健康汇】新春健康Tips——节后快速适应搬砖
不少人在过完春节之后,会出现比较典型的节后综合症,整个人的状态一时半会无法投入到正常的工作中去。今天我们邀请到嘉兴市第二医院心理卫生失眠科副主任医师步益锋,来和大家聊一聊。希望通过以下这些方式,你的烦恼都能迎刃而解! 步益锋心理卫生失眠科 副主任医师 浙江省医学会心身医学分会委员,嘉兴市精神病学及心身医学专业委员会委员,浙江省心理咨询与心理治疗行业协会成员。擅长:抑郁症,焦虑症,睡眠障碍,精神分裂
嘉兴小穗 2024-02-28 08:346483 0
-
新春健康Tips——如何运动
春节假期科学运动小贴士 春节假期准备怎么过?全程在家吃、喝、躺吗?嘉兴市第二医院骨科运动创伤科主任(亚专科)潘界恩副主任医师提醒大家:在春节假期科学地运动也很重要! 潘界恩运动创伤专科(亚专科)主任副主任医师 中国医药教育协会肩肘运动医学专业委员委员中国医药教育协会肩肘运动医学专业委员会浙江基地常务委员浙江省医师协会运动医学分会委员浙江省医学会运动医学分会下肢学组委员嘉兴市医学会运动医学分会副主
嘉兴小穗 2024-02-28 08:377543 0
-
以为是办公室坐出来“腰椎间盘突出”?其实可能是这块肌肉出问题
小周是一个长时间坐办公的“社畜”,这阵子他感觉自己的屁屁非常不对劲:久坐后臀部和外侧的大腿根酸痛难当,而且当他突然起身,臀部痛感十分明显,严重时甚至能延伸到腿部……哎呀不好了大夫,我是不是腰间盘突出了? 经过影像检查,排除了小周患有腰间盘突出的可能,骨科医生说:虽然小周这是坐骨神经痛 (*坐骨神经是人体最粗大的神经,负责下肢的感觉和运动) 的症状,还有可能他患了梨状肌综合征! 01什么是梨状肌综
嘉兴小穗 2024-02-05 16:276944 0
-
一年减重100斤你羡慕了吗?这些减肥误区要小心
前不久,网络上流传一张某女演员身穿粉色短袖运动衫跳绳的剧照,照片里的她身材苗条,瘦到令人不敢相信。随后她发文宣布一年时间成功减重100斤,网友们纷纷直呼羡慕,甚至有不少人效仿她开始减肥。接下来就来给大家盘点一下减肥的几个误区。 误区一空腹运动效果好 有一种说法认为 在空腹可以直接消耗脂肪,减肥效果最好。其实这种做法是不妥当的,因为空腹运动会过度消耗糖分导致低血糖,甚至出现乏力、心慌、出冷汗甚至晕厥
嘉兴小穗 2024-02-05 16:176673 0
-
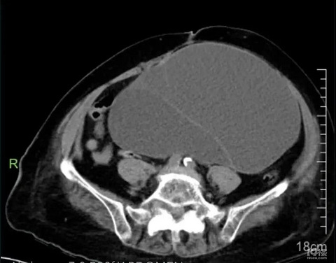
百岁老人肚子鼓出大包,我院妇科成功“拆弹”
我院妇科成功为百岁老人切除盆腔巨大肿物 “我真是做梦也没想到,妈妈一百多岁了,做完手术竟然可以恢复得这么好,太感谢你们了!”近日,我院妇科病房里,张奶奶(化名)的儿子握着医生的手激动地说道。 前不久,张奶奶肚子上凸起了一个大肿块,并且腹痛腹胀持续了数周,饭也吃不下,大小便也不好,眼看着人越来越虚弱了。家人送来我院就诊,全腹部CT检查发现张奶奶的腹盆腔里有个囊实性肿块,接近19cm×18cm大小,
嘉兴小穗 2024-02-05 16:337058 0
-
喝酒“脸红”是怎么回事?
喝酒“脸红”是怎么回事? 喝酒脸红是众所周知的一种现象。那么,为什么会这样呢? 在饮酒后,酒类里的乙醇成分由肝脏内的乙醇脱氢酶分解为乙醛。而乙醛脱氢酶又可以将乙醛再分解为二氧化碳和水。然后,大量饮酒后,体内的乙醛脱氢酶一下子供应不够了,那么就会有乙醛“滞留”。乙醛会引起毛细血管的扩张,从而出现脸红的这种表现。 可以说,“脸红”是人体肝脏的一种“自我保护”。说明此时身体内缺少乙醛脱氢酶。 喝酒了
嘉兴小穗 2024-02-05 16:306878 0
-
感冒后耳朵痛,当心这个急性炎症
这段时间正是呼吸道疾病的流行时期,有些人发烧、咳嗽、鼻塞后还出现了耳朵痛、耳闷、耳鸣、听力下降的情况。尤其是儿童,这种情况更为常见。这时就需要引起重视,因为可能已经得了急性中耳炎。 为什么儿童更容易得急性中耳炎主要和儿童抵抗力较弱和耳朵特殊的结构有关。耳朵和鼻腔后方有一个通道叫咽鼓管,儿童咽鼓管比较短、宽、平直,位置也比较低,所以感冒后病毒或细菌很容易经咽鼓管波及到中耳,引起急性中耳炎。 另外,鼻
嘉兴小穗 2024-02-05 16:216715 0
-
痛经到影响生活工作?别再只“多喝热水”了
“那个”不痛月月轻松 在去年初夏,我们推出了《“痛经”是种病吗?中医有妙招》这篇报道后,不少女性读者纷纷前来中医科咨询,那么现在时间过去半年,我们一起来看看中医施诊的疗效如何。 小美:忍不了的“痛经” 【初诊】 小美(化名),女,24岁。 主诉:痛经5年余。 病情:患者月经周期规律约28-30天,月经量偏少,色深有血块,月经第1天小腹疼痛明显,疼痛时极度乏力腰膝酸软伴有呕吐,无法坚持工作,接触温
嘉兴小穗 2024-01-29 09:276588 0
标签简介
大家都在讨论"第二医院"赶紧来看看吧~



